For Healthcare Professionals
医療関係者の方へ
ひろつぐ出生前診断クリニックでは、出生前診断および胎児超音波検査を専門的に行っております。
妊娠初期から中期にかけての形態評価と胎児心臓評価を中心に、
地域の先生方と連携しながら診療を行っています。
当院の診療内容
胎児超音波検査
- 初期ドック(12〜13週)
- 早期ドック(14〜17週)
- 中期ドック(18〜22週)
- 心臓ドック(25〜30週)
遺伝学的検査
- NIPT(新型出生前診断)
- 羊水検査
出生前診断に関するご相談にも対応しています。
当院で重視していること
妊娠初期からの構造評価
NT測定や染色体異常リスク評価に加え、心臓・脳・腹部・四肢など、胎児の構造異常をできるだけ系統的に評価することを重視しています。
胎児心臓の初期評価
妊娠初期では観察が難しい胎児心臓についても、SlowflowHDを用いた血流描出を併用し、可能な範囲で流出路や大血管の位置関係の評価を行っています。
NIPT認証施設
当クリニックのNIPT
診断後の連携
異常が疑われた場合には、妊娠中期以降の精査、高次医療機関、小児循環器施設、遺伝カウンセリング体制のある施設などへの連携を前提に診療しています。
外来診療との両立
妊婦健診を担当されている先生方の診療を妨げることなく、必要な精査を追加する形で連携できるよう配慮しています。
妊娠初期における評価範囲
妊娠初期における評価はスクリーニングとして位置付けていますが、当院では以下のような項目について可能な限り評価を行っています。
タップで拡大
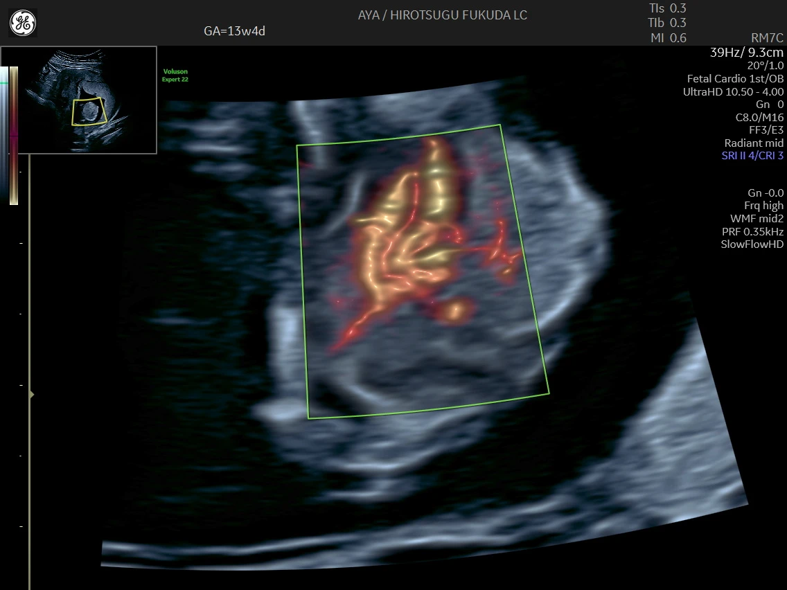
初期心臓評価の実際
下記は、妊娠初期における血流描出の一例です。初期心臓評価に関する取り組みについては、国際学術誌 Journal of Ultrasound in Medicine にも報告しています。
PUBLICATION
First-Trimester Detection of Conotruncal Anomalies Using Transabdominal SlowflowHD: A Case Series and Proof-of-Concept Study
Hirotsugu Fukuda, Aya Fukuda, Kazuya Mimura, Masayuki Endo, Ritsuko K Pooh, Michiko Kodama
J Ultrasound Med. 2026 Jan;45(1):201-207. Epub 2025 Aug 19.
PMID: 40827753 DOI: 10.1002/jum.70037
妊娠13週のslowflowHDによる心臓
妊娠13週の心疾患症例
※妊娠初期の評価には限界があり、すべての異常をこの時期に診断できるわけではありません。異常が疑われた場合には、中期以降の精査および高次医療機関との連携を前提としています。
このような場合にご相談ください
- NIPTを希望されている場合
- 妊娠初期に胎児の形態評価をご希望の場合
- 胎児心臓を含めたより詳しい評価が必要な場合
- NT肥厚、形態異常疑い、徐脈などで精査が必要な場合
- 出生前診断に関する説明先をご検討中の場合
ご紹介について
必要に応じて、検査結果は患者さんへの説明のうえ、紹介元医療機関との情報共有を行います。
お問い合わせ
医療連携・紹介に関するお問い合わせはお電話にてお受けしています
ひろつぐ出生前診断クリニック〒530-0044 大阪市北区東天満2-10-31 第9田渕ビル1F
(大阪メトロ谷町線・堺筋線 南森町駅/JR東西線 大阪天満宮駅 すぐ)
月・水・木・土:10:00〜13:00 / 15:00〜18:00
金:15:00〜18:00
火・日(第1・3・5):定休 ※第2・第4日曜:10:00〜13:00 / 15:00〜18:00 営業
